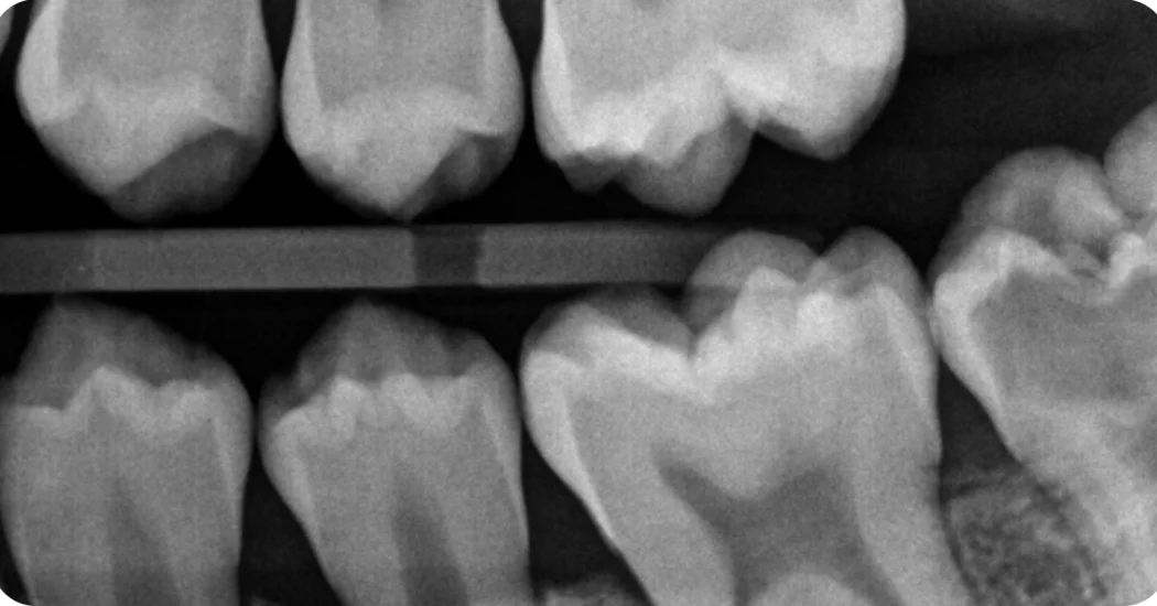
Pełna pulpotomia z użyciem Biodentine® XP w niedojrzałym zębie z przedwyrżnięciową resorpcją wewnątrzkoronową

W niniejszym studium przypadku dr Patel w pełni wykorzystuje właściwości terapeutyczne i mechaniczne Biodentine®, aby leczyć ząb dotknięty przedwyrżnięciową resorpcją wewnątrzkoronową (PEIR) u młodego pacjenta, którego głównym celem jest zachowania żywotności miazgi oraz integralności zęba.

Leczenie zachowawcze miazgi (VPT) ma na celu zachowanie miazgi, która pełni szereg istotnych funkcji, w tym dentynogenezę, obronę immunologiczną oraz propriocepcję. […] Jest to szczególnie ważne w przypadku zębów dotkniętych przedwyrznięciową resorpcją wewnątrzkoronową (PEIR), ponieważ często mają one niedojrzałe wierzchołki korzeni, a kontynuacja rozwoju korzenia jest w takich przypadkach bardzo korzystna. ”

Dr Kreena Patel

W niniejszym studium przypadku dr Patel w pełni wykorzystuje terapeutyczne i mechaniczne właściwości Biodentine®, aby leczyć ząb dotknięty przedwyrznięciową resorpcją wewnątrzkoronową (PEIR) u młodego pacjenta. Głównym celem leczenia jest zachowanie żywotności miazgi oraz integralności zęba.

Kliknij poniżej, aby dowiedzieć się, jak z powodzeniem przeprowadza pełną pulpotomię niedojrzałego zęba podczas jednej wizyty, wykorzystując Biodentine® w technice Bio-Bulk Fill.

Możesz także cieszyć się

Zarejestruj się za darmo
1/4 Wybierz swoje dane logowania

Hasło musi zawierać co najmniej:

8 znaków

Cyfrę i literę

Znak specjalny

2/4 Wprowadź swoje dane osobowe
4/4 Potwierdzać

Zarejestruj się za darmo
Zarejestruj się teraz i uzyskaj ekskluzywny dostęp do:
  • Webinariów emitowanych na żywo i nagrań z nich, aby uczyć się od najlepszych prelegentów w branży stomatologicznej.
  • Treści edukacyjnych w różnych formatach (artykuły, podcasty, przypadki kliniczne, filmy i inne), aby rozwinąć swoje umiejętności i osiągnąć sukces biznesowy.
  • Nasz program Voice of Customer (Głos Klienta) przyczynia się do tworzenia innowacyjnych produktów odpowiadających Twoim potrzebom.
Załóż konto
Zarejestruj się teraz Jesteś już członkiem naszej społeczności? Zaloguj się!
Nie pamiętasz hasła?
Wpisz adres e-mail poniżej.

Wyślemy Ci link resetujący hasło mailem.

Anuluj
Zapisz się na nasz Newsletter

Witamy na stronie

Zgodnie z obowiązującymi przepisami prawa, oświadczam, że jestem specjalistą z branży stomatologicznej (stomatolog, technik dentystyczny, asystentka, higienistka lub osoba związaną z branżą). Mam świadomość, że treści zamieszczane na niniejszej stronie mogą zawierać między innymi materiały reklamowe wyrobów przeznaczonych do używania przez użytkowników innych niż laicy. W celu przejścia na stronę potwierdź swój status:

Nie jestem specjalistą z branży stomatologicznej